


About Us
Healthy Smile Dental Clinic Indore
Healthy Smile Clinic is a leading destination for modern dental care, offering a wide range of services including dental implants, root canal treatment, braces, and cosmetic dentistry.
Established with the goal of providing painless and precise treatments, the clinic is equipped with advanced technology such as in-house CBCT, digital dentistry tools, and single-sitting solutions.
Led by highly qualified professionals, Healthy Smile Clinic is committed to excellence in patient care. With a strong focus on comfort and satisfaction, the clinic ensures a smooth, stress-free dental experience for every visitor.
Meet
Our Expert Dentist
Dr. Sidharth Mehta
Dr. Aashish Verma
Dr. Rishabh Kapoor
Dr. Nikhil Sharma
Our Services
Our Featured Services – Healthy Smile Dental Clinic
Healthy Smile Clinic, Surana Dental Clinic, we specialize in comprehensive dental healthcare tailored to meet the unique needs of every patient. From enhancing your smile to restoring dental function, our expert team offers a wide range of advanced treatments. We are especially known for our expertise in cosmetic dentistry, painless laser treatments, fixed teeth solutions, and dental implants.
Root Canal Treatment
Teeth Veneers
Dental Fillings
Premium Zirconia Crowns
The Healthy Smile Advantage
Finding the right dental treatment is now easy
Tell us your oral health concern and we will help you with the required treatment

I am not happy with my smile

I have a severe toothache

It hurts to have cold or hot things

I have missing or chipped teeth
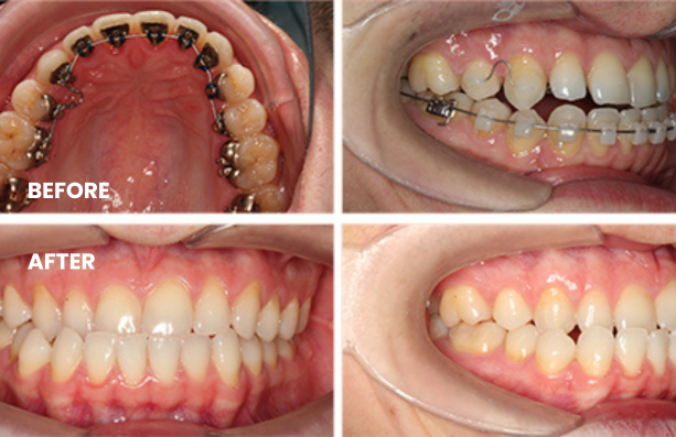
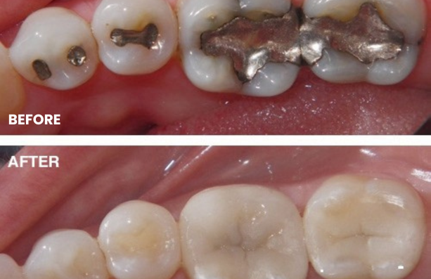
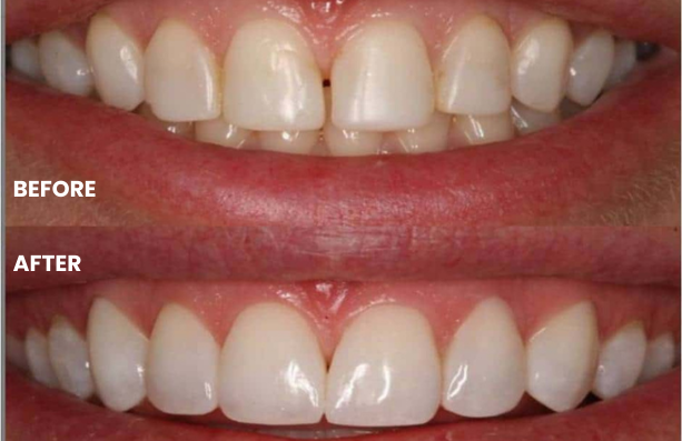
Real Smiles, Real Transformations
See the visible difference our expert dental care makes — real patients, real results.

Teeth Whitening

Braces

Root Canal

Dental Filling

Veneers

Tooth Crown
Smiles That Speak for Us
Hear from our happy patients who trusted Healthy Smile with their smile.
Answer to Your Frequently Asked Question
How often should I visit the dentist?
We recommend visiting your dentist at least twice a year for routine check-ups and cleanings to maintain a healthy smile.
Do you treat children and adults?
Yes! Our clinic provides dental care for patients of all ages, from kids to adults.
What should I do in case of a dental emergency?
If you have a dental emergency (severe pain, broken tooth, or injury), call us immediately. We provide urgent care appointments to help you quickly.
How do I book an appointment?
You can book an appointment online through our website, or call us at [clinic phone number]. We’ll schedule a time convenient for you.
